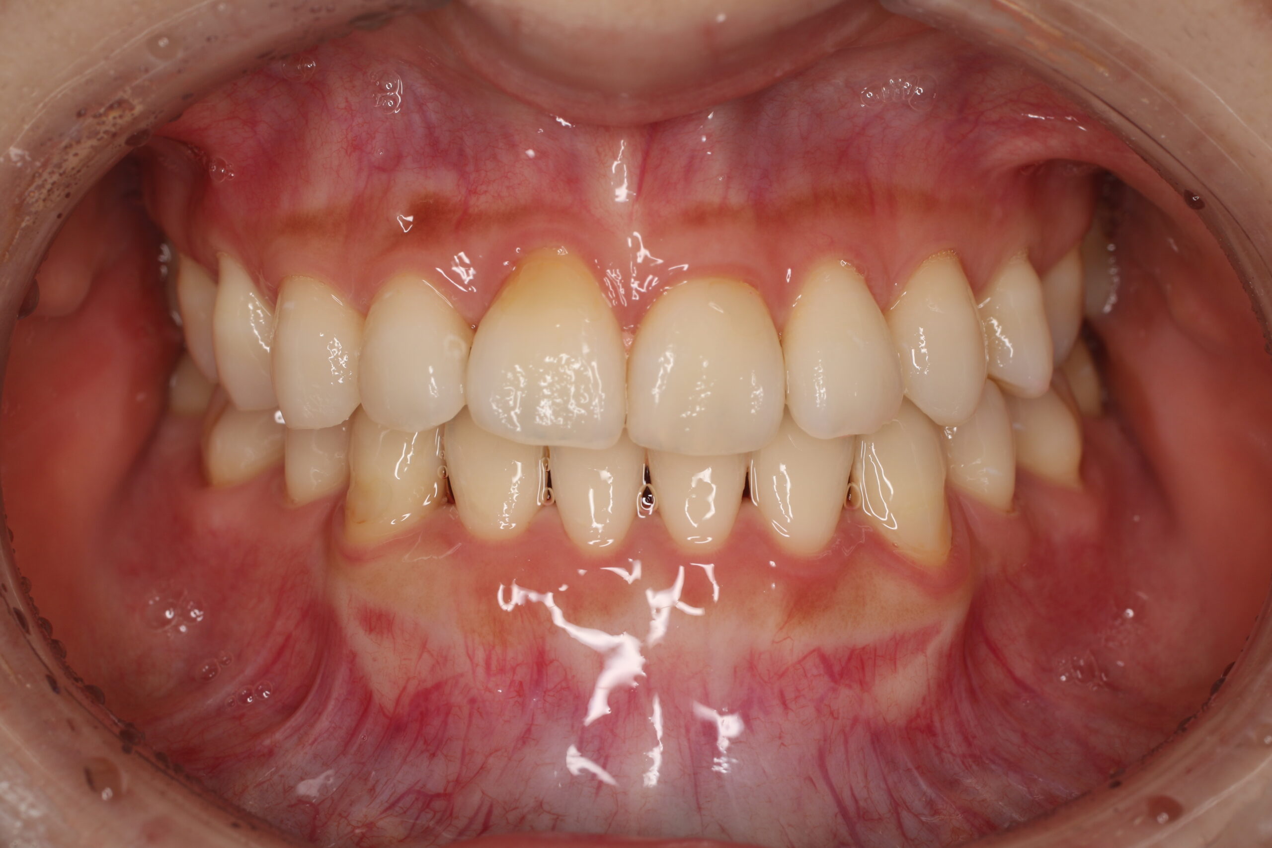
受け口(非外科)の症例
| 年齢層 | 20代 |
|---|---|
| 性別 | 女性 |
| 主訴 | 【主訴】受け口を治したい 【診断・症状】反対咬合、上下凸凹 |
| 治療費用 | 検査・診断:税込38,500円/裏側矯正治療(リンガル矯正):税込1,397,000 |
| 治療期間 | 約3年 |
| 抜歯 | 有(右上5、下4,4) |
| 矯正の装置 | 裏側矯正(舌側矯正) |
| 副作用・リスク |
Before
| 年齢層 | 20代 |
|---|---|
| 性別 | 女性 |
| 主訴 | 【主訴】受け口を治したい 【診断・症状】反対咬合、上下凸凹 |
| 治療費用 | 検査・診断:税込38,500円/裏側矯正治療(リンガル矯正):税込1,397,000 |
| 治療期間 | 約3年 |
| 抜歯 | 有(右上5、下4,4) |
| 矯正の装置 | 裏側矯正(舌側矯正) |
| 副作用・リスク |
| 年齢層 | 20代 |
|---|---|
| 性別 | 女性 |
| 主訴 | 【主訴】受け口 【診断・症状】反対咬合 |
| 治療費用 | 検査・診断:税込38,500円/裏側矯正治療(リンガル矯正):税込1,397,000 |
| 治療期間 | 10か月(13回) |
| 抜歯 | 無 |
| 矯正の装置 | 裏側矯正(舌側矯正) |
| 副作用・リスク | 歯肉退縮,歯根吸収,疼痛,咬合の違和感,装置の違和感,虫歯,歯肉炎 |
| 年齢層 | 30代 |
|---|---|
| 性別 | 男性 |
| 主訴 | 【主訴】かみ合わせが深い、受け口 【診断・症状】受け口、過蓋咬合、上下凸凹 |
| 治療費用 | 検査・診断:税込38,500円/裏側矯正治療(リンガル矯正):税込1,397,000円/難症例加算:税込220,000円 |
| 治療期間 | 約3年半(45回) |
| 抜歯 | 無(非抜歯) |
| 矯正の装置 | 裏側矯正(舌側矯正) |
| 副作用・リスク | 歯肉退縮,歯根吸収,疼痛,咬合の違和感,装置の違和感,虫歯,歯肉炎 |
| 年齢層 | 20代 |
|---|---|
| 性別 | 女性 |
| 主訴 | 【主訴】受け口を治したい 【診断・症状】反対咬合、上下凸凹 |
| 治療費用 | 検査・診断:税込38,500円/裏側矯正治療(リンガル矯正):税込1,397,000円 |
| 治療期間 | 約1年半(約20回) |
| 抜歯 | 有(下4,4) |
| 矯正の装置 | 裏側矯正(舌側矯正) |
| 副作用・リスク | 歯肉退縮,歯根吸収,疼痛,咬合の違和感,装置の違和感,虫歯,歯肉炎 |
| 年齢層 | 30代 |
|---|---|
| 性別 | 女性 |
| 主訴 | 【主訴】受け口を治したい 【診断・症状】上下凸凹、受け口 |
| 治療費用 | 検査・診断:税込55,000円/サージェリーファースト(裏側矯正):税込2,090,000円(+外科費用 約200万)(※外科代につきましては別途かかります) |
| 治療期間 | 約2年(約26回) |
| 抜歯 | 無(非抜歯) |
| 矯正の装置 | 裏側矯正(舌側矯正) |
| 副作用・リスク | 歯肉退縮,歯根吸収,疼痛,咬合の違和感,装置の違和感,虫歯,歯肉炎 |
| 年齢層 | 20代 |
|---|---|
| 性別 | 女性 |
| 主訴 | 【主訴】受け口を治したい 【診断・症状】反対咬合、上下凸凹 |
| 治療費用 | 検査・診断:税込38,500円/ハーフリンガル矯正治療:税込1,287,000円 |
| 治療期間 | 約1年半(20回) |
| 抜歯 | 無(非抜歯) |
| 矯正の装置 | ハーフリンガル矯正 |
| 副作用・リスク | 歯肉退縮,歯根吸収,疼痛,咬合の違和感,装置の違和感,虫歯,歯肉炎 |
| 年齢層 | 30代 |
|---|---|
| 性別 | 女性 |
| 主訴 | 【主訴】軽度の受け口を治したい 【診断・症状】軽度の反対咬合、左上6番重度の虫歯 |
| 治療費用 | 検査・診断:税込38,500円/裏側矯正治療(リンガル矯正):税込1,397,000円 |
| 治療期間 | 約3年(39回) |
| 抜歯 | 有(左上6番のみ) |
| 矯正の装置 | 裏側矯正(舌側矯正) |
| 副作用・リスク | 歯肉退縮,歯根吸収,疼痛,咬合の違和感,装置の違和感,虫歯,歯肉炎 |
| 年齢層 | 30代 |
|---|---|
| 性別 | 女性 |
| 主訴 | 【主訴】軽度の反対咬合を治したい 【診断・症状】上下凸凹 、前歯の反対咬合 |
| 治療費用 | 検査・診断:税込38,500円/裏側矯正治療(リンガル矯正):税込1,397,000円 |
| 治療期間 | 約1年10か月(24回) |
| 抜歯 | 無(非抜歯) |
| 矯正の装置 | 裏側矯正(舌側矯正) |
| 副作用・リスク | 歯肉退縮,歯根吸収,疼痛,咬合の違和感,装置の違和感,虫歯,歯肉炎 |