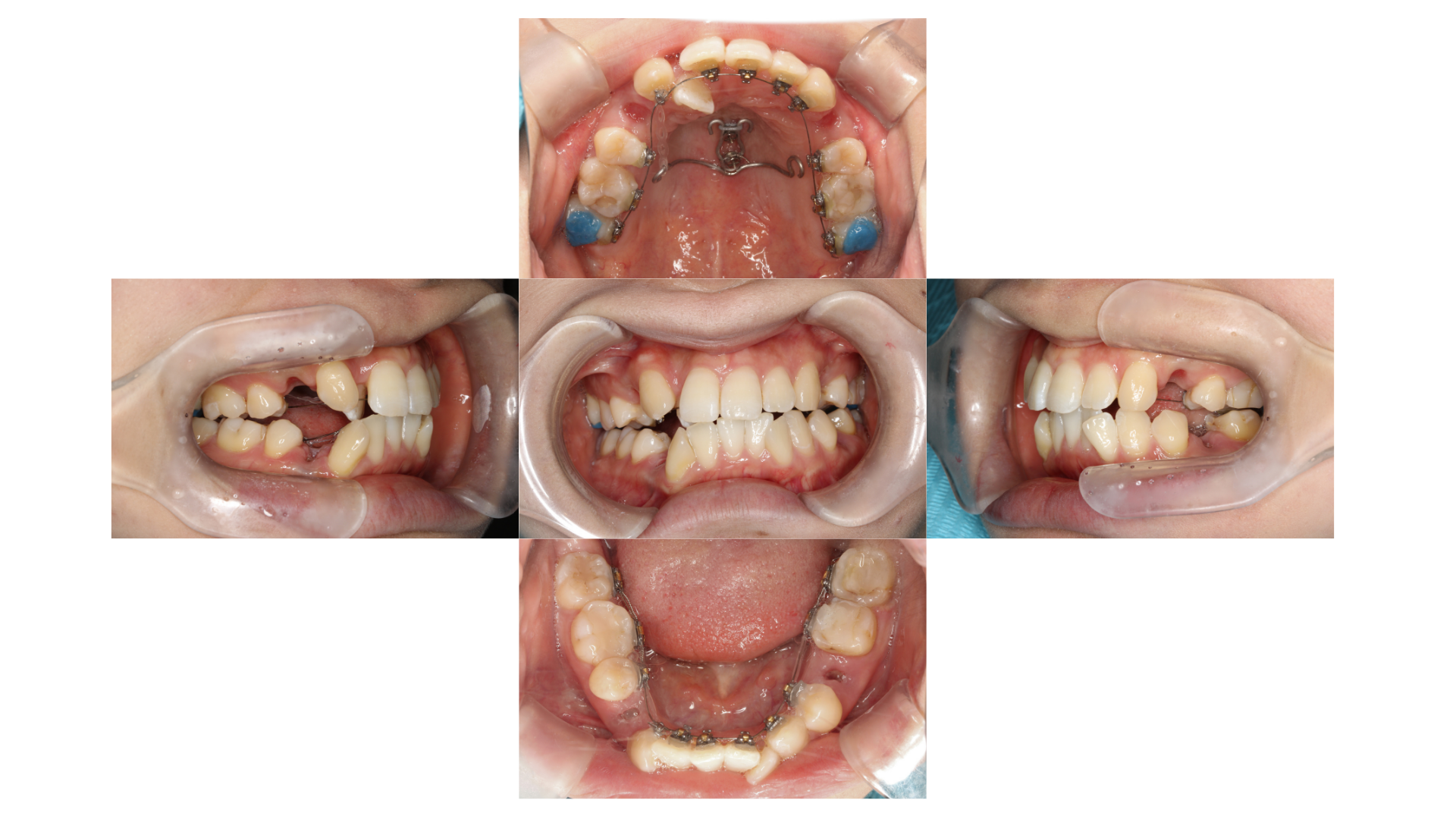
八重歯が気になる(約1年1ヵ月/通院:20回)
Before
After
| 年齢層 | 20代 |
|---|---|
| 性別 | 女性 |
| 主訴 | 【主訴】八重歯 【診断・症状】低位唇側転位 |
| 治療費用 | 検査・診断:税込38,500円/裏側矯正治療(リンガル矯正):税込1,397,000 |
| 治療期間 | 1年1ヵ月(20回) |
| 抜歯 | 有(上4,4、下4,5) |
| 矯正の装置 | 裏側矯正(舌側矯正) |
| 副作用・リスク | 歯肉退縮,歯根吸収,疼痛,咬合の違和感,装置の違和感,虫歯,歯肉炎 |
初診時
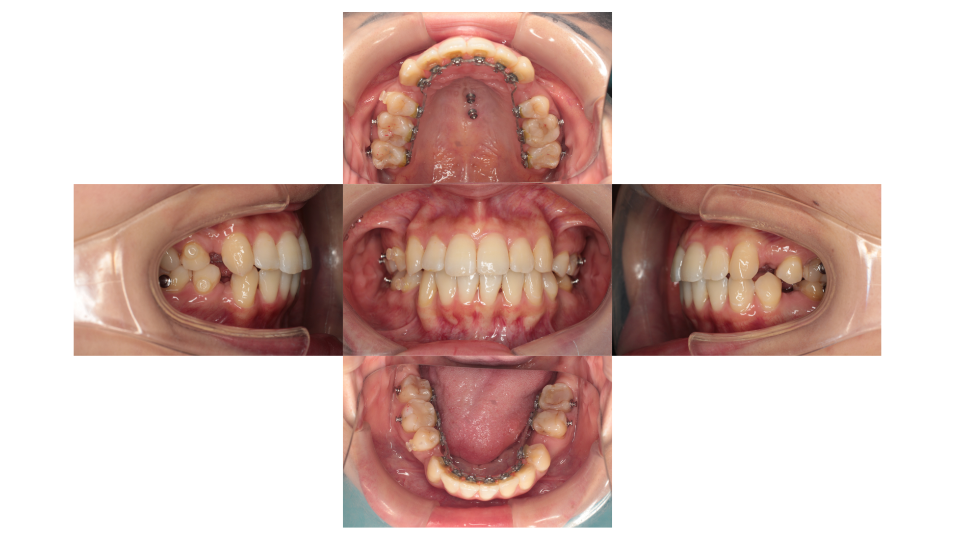
装置装着時
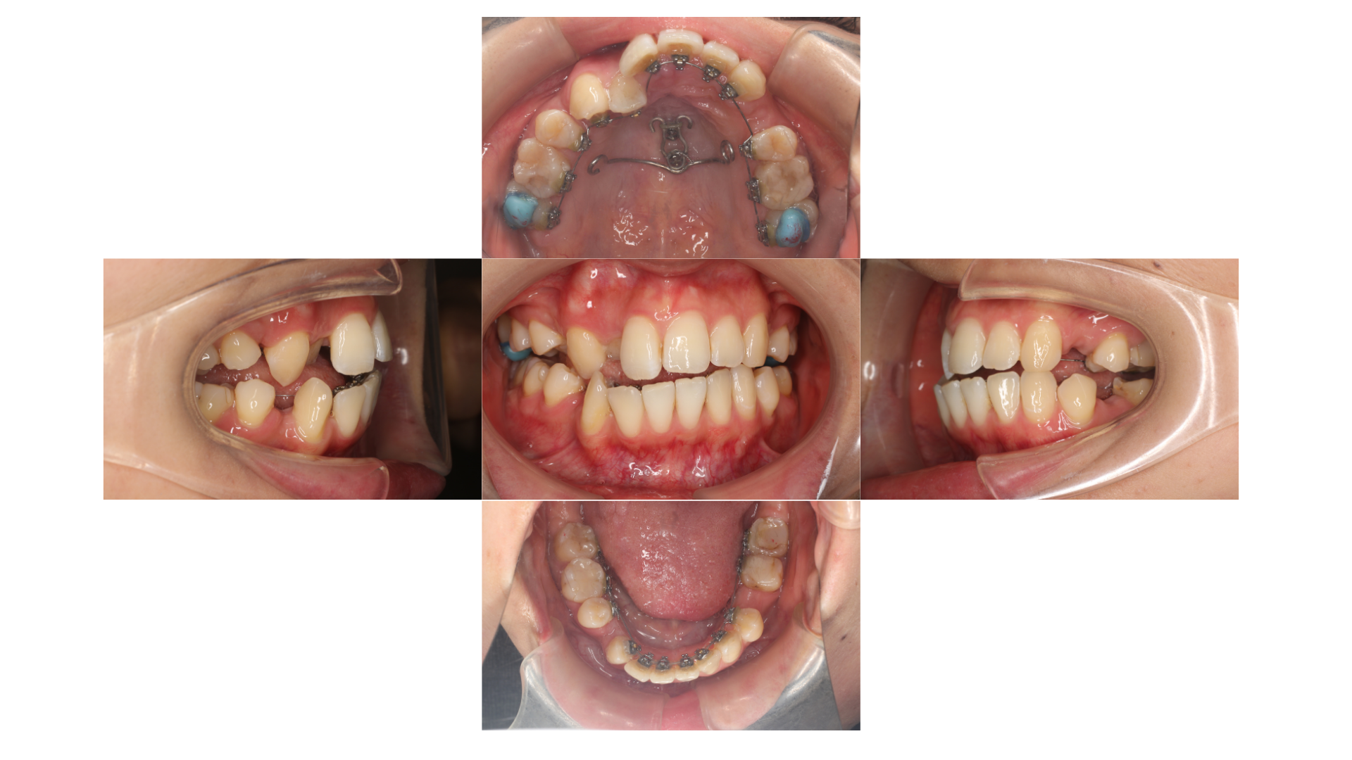
5ヵ月経過時
10ヵ月経過時
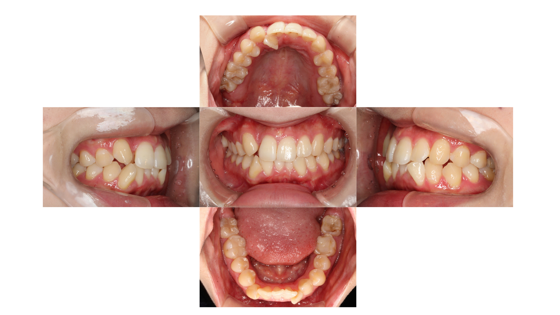
現在

