こんにちは。難波矯正歯科です。
いつも当医院のブログをご覧いただき、ありがとうございます。
出っ歯は見た目に注目されがちですが、実は噛み合わせも悪い状態です。
噛み合わせが悪いと、お口と身体の健康にさまざまな悪影響を及ぼします。そこで本記事では、出っ歯で噛み合わせが悪いとどんな影響がでるのかについて解説します。
目次
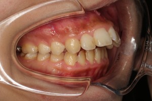
そもそも出っ歯とは?

出っ歯とは、通常よりも前歯が前に突き出ている状態の歯並びのことです。専門用語では「上顎前突(じょうがくぜんとつ)」と呼ばれています。
出っ歯の主な原因には、二つの大きな要因が考えられます。
一つ目は遺伝的な背景にあるもの。たとえば、両親あるいは祖父母が上あごの骨が大きく、出っ歯を生じている場合は子どもに引き継がれる可能性が高くなります。
もう一つは、習慣や行動によって引き起こされるものです。
たとえば、長期間の指しゃぶり、爪や下唇を噛む癖などは、その力によって歯が押し出されて出っ歯を引き起こすリスクがあります。
出っ歯で噛み合わせが悪いとどうなる?
出っ歯で噛み合わせが悪いと、以下のような問題が生じることがあります。
虫歯・歯周病のリスクが高まる

出っ歯は前歯が突き出しているだけでなく、奥歯の歯並びも乱れていることが多いです。
そのため、歯ブラシが届きにくく、歯垢や歯石が溜まりやすい状態に。
その結果、虫歯・歯周病のリスクが高まる可能性があります。
虫歯や歯周病は歯を失う二大原因と言われているため、毎日のセルフケアと定期的な歯科検診が重要になります。
口呼吸になりやすい

大きく前に突き出した前歯は、唇が閉じにくくなるため、鼻呼吸ではなく口呼吸になりがちです。
口呼吸の癖がつくと、お口の中が乾燥して唾液の分泌量が低下し、細菌が繁殖しやすい環境になります。
それにより、虫歯や歯周病・口臭の原因となる可能性があります。
発音がしづらくなる
出っ歯は、舌の位置や動きに影響を及ぼし、発音する際に空気が漏れてしまうことがあります。
特に、舌を上あごに押し付けて発音する「サ・タ・ラ行」の音が正確に出にくくなることがあります。
その結果、言葉が聞き取りにくくなることがあるため、コミュニケーションが難しくなったり、話すことに自信を失う方も。
しっかり噛めない
出っ歯は上下の前歯で食べ物をきちんと噛み切るのが難しくなることがあります。
そのため、咀嚼が不十分になりやすく、食べ物が大きな塊のまま飲み込んでしまう可能性があります。
このような食事の摂り方は、消化不良のリスクが高まるばかりでなく、噛む回数が減少することから満腹感を得にくくなり、食べ過ぎの原因にもなります。
奥歯に負担がかかりやすくなる
出っ歯の状態では、前歯でしっかりと噛むことが難しいため、噛む力が奥歯に集中しやすくなります。
長期にわたって奥歯に過度な負担がかかると、歯が欠けたり、割れたりするリスクが増え、結果的に歯を早く失ってしまう恐れがあります。
顎関節症のリスクが高まる

噛み合わせの悪さは、顎関節に負担をかける可能性があります。
長期間にわたって続くと、顎関節症を引き起こす可能性が。
顎関節症は、あごを動かす際に痛みや違和感を伴う症状のことで、重症化すると外科手術が必要となる場合があります。
頭痛・肩こり・腰痛の原因になる
噛む際に使う筋肉は、首や頭の筋肉にもつながっています。
そのため、噛み合わせが悪いと、筋肉に緊張が生じ、頭痛や肩こりを引き起こすことがあります。
さらに、左右均等に噛むことができないと、筋肉にアンバランスな負荷がかかり、体のバランスが崩れてしまうことも。
その結果、姿勢の乱れや顔の歪み、腰痛を招くことがあります。
噛み合わせの悪い出っ歯の治し方
噛み合わせを含めて出っ歯をしっかり治したい場合は、以下の治療法があります。
歯列矯正
歯列矯正では歯並びと噛み合わせを整えられます。
症状が軽度~中度のケースなら矯正治療だけで改善が期待できますが、骨格に原因があるケースや重度の症例は、外科手術が必要になることもあります。
ここでは、出っ歯を改善する矯正方法を3つ紹介します。
ワイヤー矯正

ブラケットとワイヤーを歯につけて歯を動かす矯正方法です。
実績が豊富で、幅広い症例に対応できます。
ワイヤー矯正には大きく分けると、「表側矯正」と「裏側矯正」があります。
表側矯正は、歯の表面に装置をつける方法で、最も一般的に行われる矯正です。
しかし、装置が目立ち人目につきやすいことがデメリットとして挙げられます。
一方、裏側矯正は歯の裏側に装置をつける方法で、装置が外から見えることはありません。
周囲の人に矯正をしていることが気づかれにくいメリットがあります。
マウスピース型矯正(インビザライン)
透明なマウスピース型の矯正装置を使用して歯を段階的に整える方法です。
1~2週間ごとに新しいマウスピースに交換することで、徐々に歯を理想の位置に動かします。
装置が透明なので目立ちにくいのもメリット。また、ワイヤー矯正よりも痛みが少ない特徴もあります。
しかし、重度の出っ歯には対応できない可能性があります。
外科矯正
あごの骨が問題で出っ歯が生じているケースは、歯列矯正のみでは改善ができない可能性があります。
その際に選択されるのが外科矯正です。
外科矯正は歯列矯正と並行して、あごの骨を切って適切な位置に移動させる手術を行います。
あごの骨の大きさや形を整えられることから、噛み合わせや顔のバランスを根本的に改善することが可能です。
ただし、手術は全身麻酔下で入院を必要とするため、体への負担がかかります。
MFT

口呼吸や爪を噛む癖など、習慣によって出っ歯を生じている場合は、その癖も改善する必要があります。
なぜなら、癖によって歯列矯正中の歯の動きが妨げられたり、歯列矯正で歯並びと噛み合わせが整っても、後戻りする可能性があるからです。
意識することにより改善を目指すこともできますが、難しい場合は歯列矯正と並行してMFT(口腔筋機能療法)を行うこともあります。
MFTは、お口の周りの筋肉をトレーニングし、舌、唇、頬の適切な使い方を習得することで、癖の改善を目指す治療法です。
MFT(口腔筋機能療法)について
出っ歯を治す4つのメリット
出っ歯を治すメリットは、以下の通りです。
口元に自信が持てる

歯列矯正により、前に突き出した前歯が引っ込むと、口元がすっきりとして美しく見えるようになります。
笑顔を見せることや話す際の自信が増し、人とのコミュニケーションがより活き活きとしたものになります。
噛み合わせが改善される
歯列矯正によって噛み合わせが整うと、食べ物をしっかりと咀嚼できるようになり、消化不良を予防します。
また、左右均等に噛めるようになるため、顔周りの筋肉のバランスが整い、顔や身体の歪み、肩こりや頭痛が軽減される可能性があります。
虫歯・歯周病予防につながる
歯並びが整うことで、歯ブラシやフロスで効果的にケアができるようになります。
これにより、お口の中の衛生状態が向上し、虫歯や歯周病の予防が期待できます。
滑舌が改善される

出っ歯を治すことで、舌の動きがスムーズになり、発音する際に正しい位置につくようになります。
これにより、発音が明瞭になり、人とのコミュニケーションもさらに円滑になります。
まとめ
出っ歯で噛み合わせが悪くなることにより、虫歯や歯周病のリスクが高まったり、頭痛や肩こりを引き起こす原因となることもあります。
しかし、出っ歯は歯列矯正で改善が可能です。
歯列矯正は、見た目の改善が注目されがちですが、噛み合わせを重視した治療をしています。
歯並びと噛み合わせを整えることで、口元の美しさ、歯や身体の健康を手に入れられます。
当院ではカウンセリングを無料で行っております。出っ歯や噛み合わせに不安を感じる方は、お気軽にご相談ください。
無料カウンセリングのご予約はこちらから


