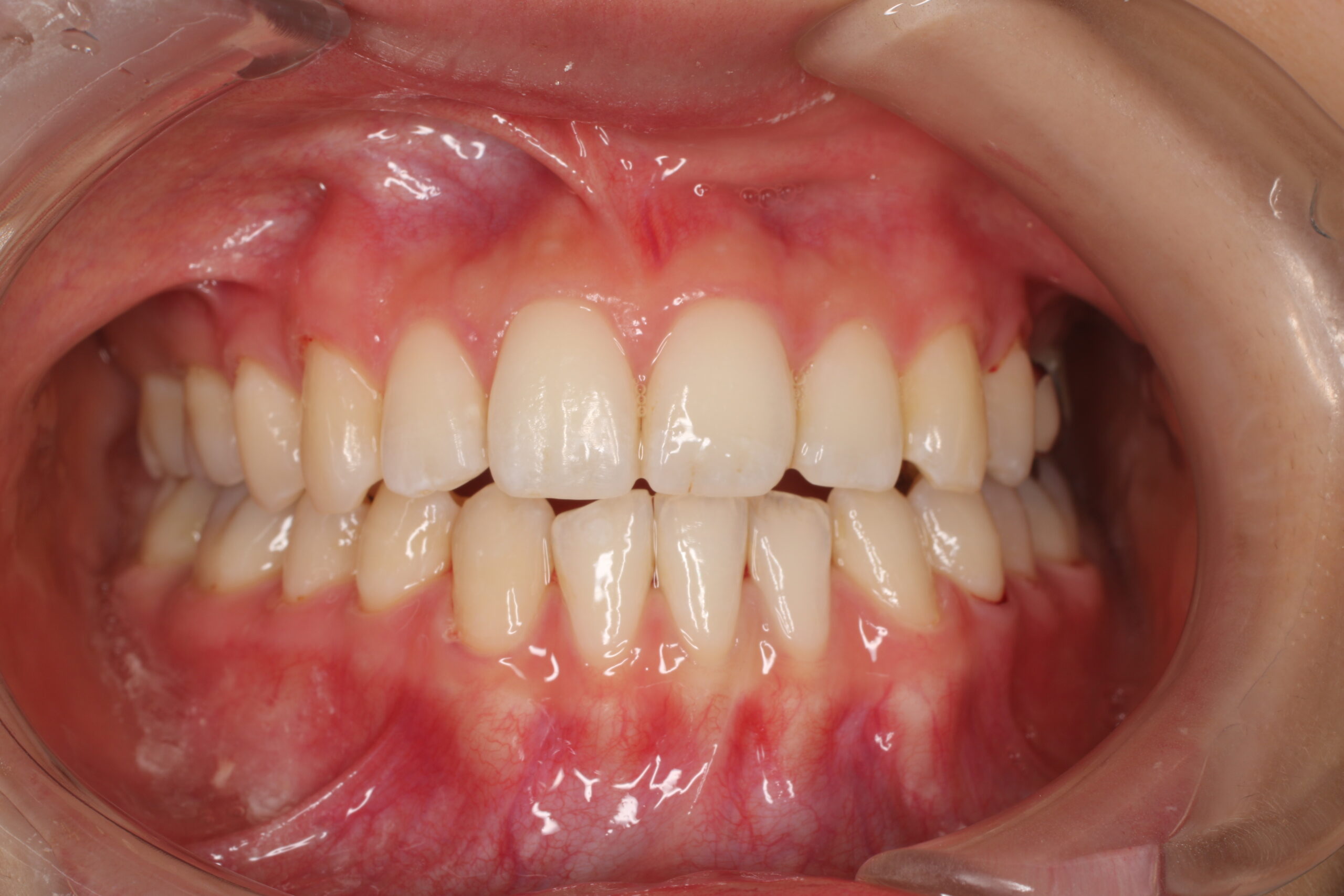
八重歯が気になる
| 年齢層 | 30代 |
|---|---|
| 性別 | 女性 |
| 主訴 | 【主訴】八重歯 【診断・症状】低位唇側転位 |
| 治療費用 | 検査・診断:税込38,500円/裏側矯正治療(リンガル矯正):税込1,397,000 |
| 治療期間 | 2年4ヵ月(31回) |
| 抜歯 | 有(上4,4、下5,5) |
| 矯正の装置 | 裏側矯正(舌側矯正) |
| 副作用・リスク | 歯肉退縮,歯根吸収,疼痛,咬合の違和感,装置の違和感,虫歯,歯肉炎 |
| 年齢層 | 30代 |
|---|---|
| 性別 | 女性 |
| 主訴 | 【主訴】八重歯 【診断・症状】低位唇側転位 |
| 治療費用 | 検査・診断:税込38,500円/裏側矯正治療(リンガル矯正):税込1,397,000 |
| 治療期間 | 2年4ヵ月(31回) |
| 抜歯 | 有(上4,4、下5,5) |
| 矯正の装置 | 裏側矯正(舌側矯正) |
| 副作用・リスク | 歯肉退縮,歯根吸収,疼痛,咬合の違和感,装置の違和感,虫歯,歯肉炎 |
| 年齢層 | 30代 |
|---|---|
| 性別 | 女性 |
| 主訴 | 【主訴】Eラインを整えたい 【診断・症状】上下顎前突 |
| 治療費用 | 検査・診断:税込38,500円/裏側矯正治療(リンガル矯正):税込1,397,000 |
| 治療期間 | 2年9ヶ月(34回) |
| 抜歯 | 有(上4,4、下5,5) |
| 矯正の装置 | 裏側矯正(舌側矯正) |
| 副作用・リスク | 歯肉退縮,歯根吸収,疼痛,咬合の違和感,装置の違和感,虫歯,歯肉炎 |
| 年齢層 | 40代 |
|---|---|
| 性別 | 女性 |
| 主訴 | 【主訴】かみ合わせが深い 【診断・症状】過蓋咬合 |
| 治療費用 | 検査・診断:税込38,500円/裏側矯正治療(リンガル矯正):税込1,397,000 |
| 治療期間 | 1年7ヵ月(29回) |
| 抜歯 | 有(上4,4、下5,5) |
| 矯正の装置 | 裏側矯正(舌側矯正) |
| 副作用・リスク | 歯肉退縮,歯根吸収,疼痛,咬合の違和感,装置の違和感,虫歯,歯肉炎 |
| 年齢層 | 20代 |
|---|---|
| 性別 | 女性 |
| 主訴 | 【主訴】かみ合わせ 【診断・症状】咬合不良・臼歯一部反対咬合 |
| 治療費用 | 検査・診断:税込38,500円/裏側矯正治療(リンガル矯正):税込1,397,000 |
| 治療期間 | 1年9ヵ月(24回) |
| 抜歯 | 無 |
| 矯正の装置 | 裏側矯正(舌側矯正) |
| 副作用・リスク | 歯肉退縮,歯根吸収,疼痛,咬合の違和感,装置の違和感,虫歯,歯肉炎 |
| 年齢層 | 20代 |
|---|---|
| 性別 | 女性 |
| 主訴 | 【主訴】受け口を治したい 【診断・症状】反対咬合、上下凸凹 |
| 治療費用 | 検査・診断:税込38,500円/裏側矯正治療(リンガル矯正):税込1,397,000 |
| 治療期間 | 約3年 |
| 抜歯 | 有(右上5、下4,4) |
| 矯正の装置 | 裏側矯正(舌側矯正) |
| 副作用・リスク |
| 年齢層 | 20代 |
|---|---|
| 性別 | 女性 |
| 主訴 | 【主訴】すきっ歯 【診断・症状】正中離開 |
| 治療費用 | 検査・診断:税込38,500円/裏側矯正治療(リンガル矯正):税込1,397,000 |
| 治療期間 | 2年(33回) |
| 抜歯 | 有(上4,4、下4,4) |
| 矯正の装置 | 裏側矯正(舌側矯正) |
| 副作用・リスク |
| 年齢層 | 20代 |
|---|---|
| 性別 | 女性 |
| 主訴 | 【主訴】八重歯 【診断・症状】低位唇側転位 |
| 治療費用 | 検査・診断:税込38,500円/裏側矯正治療(リンガル矯正):税込1,397,000 |
| 治療期間 | 1年(19回) |
| 抜歯 | 有(上右5, 下右5) |
| 矯正の装置 | 裏側矯正(舌側矯正) |
| 副作用・リスク | 歯肉退縮,歯根吸収,疼痛,咬合の違和感,装置の違和感,虫歯,歯肉炎 |
| 年齢層 | 20代 |
|---|---|
| 性別 | 女性 |
| 主訴 | 【主訴】かみ合わせ 【診断・症状】正中不一致 |
| 治療費用 | 検査・診断:税込38,500円/裏側矯正治療(リンガル矯正):税込1,397,000 |
| 治療期間 | 1年3ヵ月(23回) |
| 抜歯 | 無 |
| 矯正の装置 | 裏側矯正(舌側矯正) |
| 副作用・リスク | 歯肉退縮,歯根吸収,疼痛,咬合の違和感,装置の違和感,虫歯,歯肉炎 |
| 年齢層 | 20代 |
|---|---|
| 性別 | 女性 |
| 主訴 | 【主訴】かみ合わせ 【診断・症状】開咬 |
| 治療費用 | 検査・診断:税込38,500円/裏側矯正治療(リンガル矯正):税込1,397,000 |
| 治療期間 | 1年3ヵ月(19回) |
| 抜歯 | 有(上4,4) |
| 矯正の装置 | 裏側矯正(舌側矯正) |
| 副作用・リスク | 歯肉退縮,歯根吸収,疼痛,咬合の違和感,装置の違和感,虫歯,歯肉炎 |
| 年齢層 | 20代 |
|---|---|
| 性別 | 女性 |
| 主訴 | 【主訴】受け口 【診断・症状】反対咬合 |
| 治療費用 | 検査・診断:税込38,500円/裏側矯正治療(リンガル矯正):税込1,397,000 |
| 治療期間 | 10か月(13回) |
| 抜歯 | 無 |
| 矯正の装置 | 裏側矯正(舌側矯正) |
| 副作用・リスク | 歯肉退縮,歯根吸収,疼痛,咬合の違和感,装置の違和感,虫歯,歯肉炎 |
| 年齢層 | 20代 |
|---|---|
| 性別 | 女性 |
| 主訴 | 【主訴】八重歯 【診断・症状】低位唇側転位 |
| 治療費用 | 検査・診断:税込38,500円/裏側矯正治療(リンガル矯正):税込1,397,000 |
| 治療期間 | 1年3ヵ月(21回) |
| 抜歯 | 有(上4,4、下5,5) |
| 矯正の装置 | 裏側矯正(舌側矯正) |
| 副作用・リスク | 歯肉退縮,歯根吸収,疼痛,咬合の違和感,装置の違和感,虫歯,歯肉炎 |
| 年齢層 | 20代 |
|---|---|
| 性別 | 女性 |
| 主訴 | 【主訴】すきっ歯 【診断・症状】正中離開 |
| 治療費用 | 検査・診断:税込38,500円/裏側矯正治療(リンガル矯正):税込1,397,000 |
| 治療期間 | 1年3ヵ月(21回) |
| 抜歯 | 有(上4,4、下5,5) |
| 矯正の装置 | 裏側矯正(舌側矯正) |
| 副作用・リスク | 歯肉退縮,歯根吸収,疼痛,咬合の違和感,装置の違和感,虫歯,歯肉炎 |
| 年齢層 | 20代 |
|---|---|
| 性別 | 女性 |
| 主訴 | 【主訴】歯の非対称を治したい 【診断・症状】右下2番先天欠損、上下凸凹、顎が曲がっている |
| 治療費用 | 検査・診断:税込55,000円/サージェリーファースト(裏側矯正):税込2,090,000円(+外科費用 約200万)(※外科代につきましては別途かかります) |
| 治療期間 | 約2年半(33回) |
| 抜歯 | 無(非抜歯) |
| 矯正の装置 | 裏側矯正(舌側矯正) |
| 副作用・リスク | 歯肉退縮,歯根吸収,疼痛,咬合の違和感,装置の違和感,虫歯,歯肉炎 |
| 年齢層 | 30代 |
|---|---|
| 性別 | 男性 |
| 主訴 | 【主訴】歯の凸凹を治したい 【診断・症状】上下凸凹 |
| 治療費用 | 検査・診断:税込38,500円/裏側矯正治療(リンガル矯正):税込1,397,000円 |
| 治療期間 | 約3年半(45回) |
| 抜歯 | 有(上4,4、左下4) |
| 矯正の装置 | 裏側矯正(舌側矯正) |
| 副作用・リスク | 歯肉退縮,歯根吸収,疼痛,咬合の違和感,装置の違和感,虫歯,歯肉炎 |
| 年齢層 | 30代 |
|---|---|
| 性別 | 男性 |
| 主訴 | 【主訴】かみ合わせが深い、受け口 【診断・症状】受け口、過蓋咬合、上下凸凹 |
| 治療費用 | 検査・診断:税込38,500円/裏側矯正治療(リンガル矯正):税込1,397,000円/難症例加算:税込220,000円 |
| 治療期間 | 約3年半(45回) |
| 抜歯 | 無(非抜歯) |
| 矯正の装置 | 裏側矯正(舌側矯正) |
| 副作用・リスク | 歯肉退縮,歯根吸収,疼痛,咬合の違和感,装置の違和感,虫歯,歯肉炎 |
| 年齢層 | 30代 |
|---|---|
| 性別 | 女性 |
| 主訴 | 【主訴】出っ歯を治したい 【診断・症状】上下凸凹、口元が出てる |
| 治療費用 | 検査・診断:税込38,500円/裏側矯正治療(リンガル矯正):税込1,397,000円 |
| 治療期間 | 約2年9か月(36回) |
| 抜歯 | 抜歯:有(上4,4) |
| 矯正の装置 | 裏側矯正(舌側矯正) |
| 副作用・リスク | 歯肉退縮,歯根吸収,疼痛,咬合の違和感,装置の違和感,虫歯,歯肉炎 |
| 年齢層 | 30代 |
|---|---|
| 性別 | 女性 |
| 主訴 | 【主訴】出っ歯を治したい 【診断・症状】上下凸凹、出っ歯(上顎前突) |
| 治療費用 | 検査・診断:税込38,500円/裏側矯正治療(リンガル矯正):税込1,397,000円 |
| 治療期間 | 約2年半(33回) |
| 抜歯 | 有(上4,4、下5,5) |
| 矯正の装置 | 裏側矯正(舌側矯正) |
| 副作用・リスク | 歯肉退縮,歯根吸収,疼痛,咬合の違和感,装置の違和感,虫歯,歯肉炎 |
| 年齢層 | 20代 |
|---|---|
| 性別 | 女性 |
| 主訴 | 【主訴】受け口を治したい 【診断・症状】反対咬合、上下凸凹 |
| 治療費用 | 検査・診断:税込38,500円/裏側矯正治療(リンガル矯正):税込1,397,000円 |
| 治療期間 | 約1年半(約20回) |
| 抜歯 | 有(下4,4) |
| 矯正の装置 | 裏側矯正(舌側矯正) |
| 副作用・リスク | 歯肉退縮,歯根吸収,疼痛,咬合の違和感,装置の違和感,虫歯,歯肉炎 |
| 年齢層 | 30代 |
|---|---|
| 性別 | 女性 |
| 主訴 | 【主訴】受け口を治したい 【診断・症状】上下凸凹、受け口 |
| 治療費用 | 検査・診断:税込55,000円/サージェリーファースト(裏側矯正):税込2,090,000円(+外科費用 約200万)(※外科代につきましては別途かかります) |
| 治療期間 | 約2年(約26回) |
| 抜歯 | 無(非抜歯) |
| 矯正の装置 | 裏側矯正(舌側矯正) |
| 副作用・リスク | 歯肉退縮,歯根吸収,疼痛,咬合の違和感,装置の違和感,虫歯,歯肉炎 |
| 年齢層 | 30代 |
|---|---|
| 性別 | 女性 |
| 主訴 | 【主訴】軽度の受け口を治したい 【診断・症状】軽度の反対咬合、左上6番重度の虫歯 |
| 治療費用 | 検査・診断:税込38,500円/裏側矯正治療(リンガル矯正):税込1,397,000円 |
| 治療期間 | 約3年(39回) |
| 抜歯 | 有(左上6番のみ) |
| 矯正の装置 | 裏側矯正(舌側矯正) |
| 副作用・リスク | 歯肉退縮,歯根吸収,疼痛,咬合の違和感,装置の違和感,虫歯,歯肉炎 |