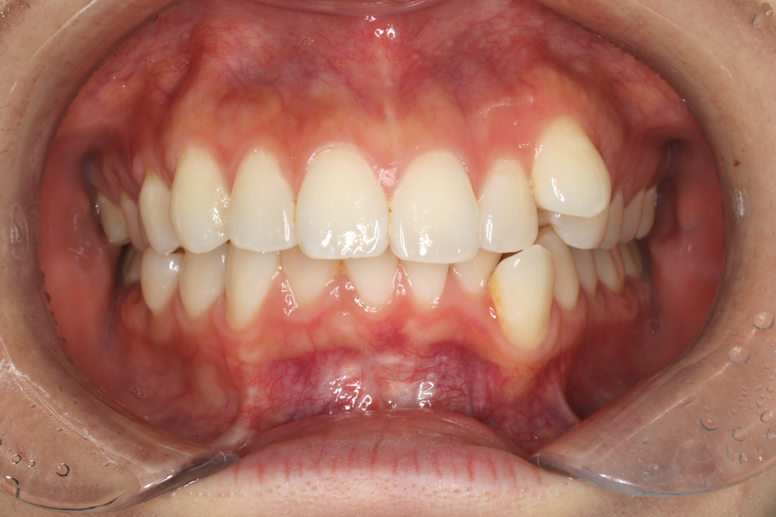
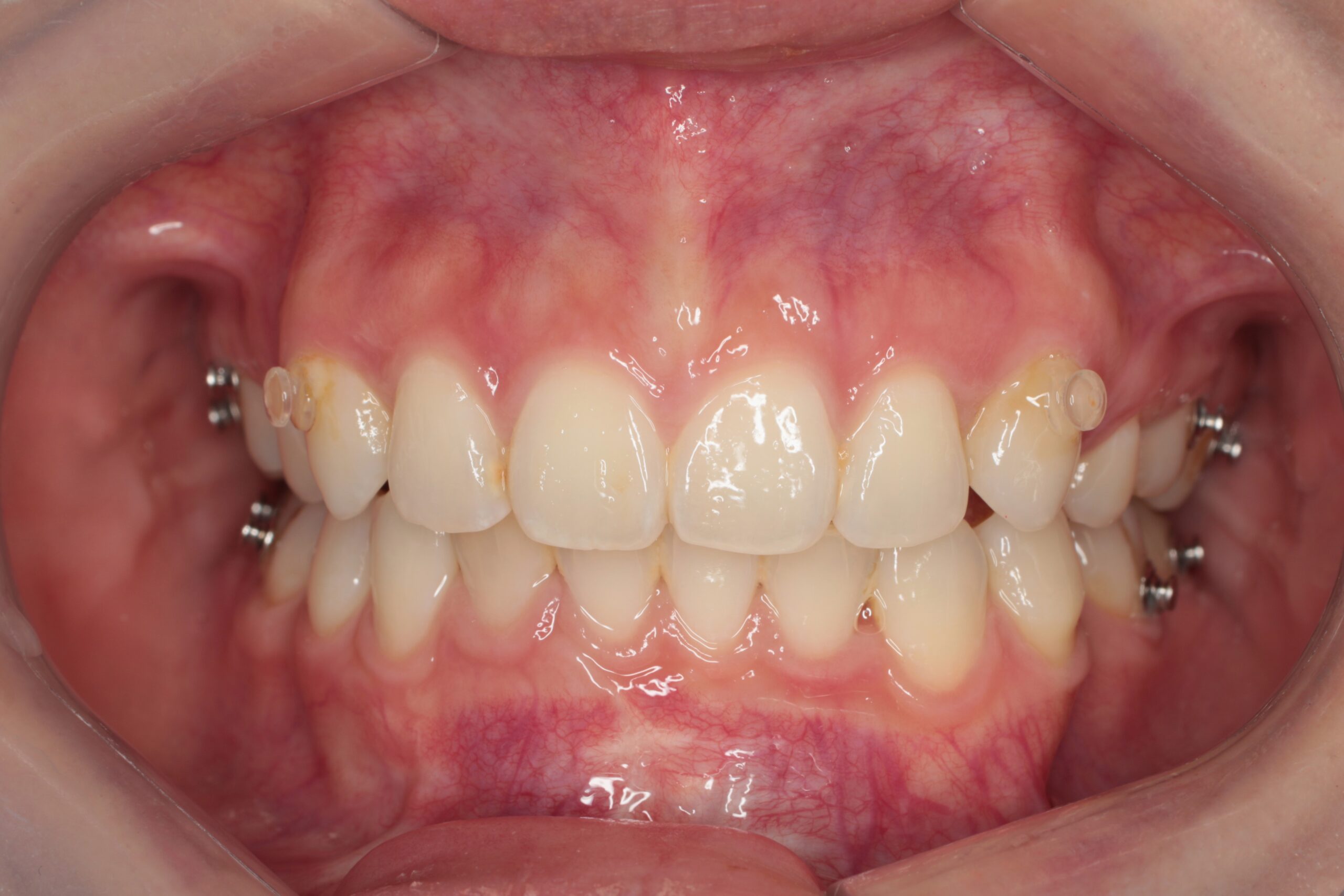
八重歯(ガチャ歯)を治したい

八重歯が気になる(約1年9ヶ月/通院:25回)

年齢層 20代
性別 女性
主訴 【主訴】八重歯 【診断・症状】低位唇側転位
治療費用 検査・診断:税込38,500円/裏側矯正治療(リンガル矯正):税込1,397,000
治療期間 1年9ヵ月(25回)
抜歯 有(上4,4、下5,5)
矯正の装置 裏側矯正(舌側矯正)
副作用・リスク 歯肉退縮,歯根吸収,疼痛,咬合の違和感,装置の違和感,虫歯,歯肉炎
初診 口腔内写真 難波

Before

After

詳しく見る


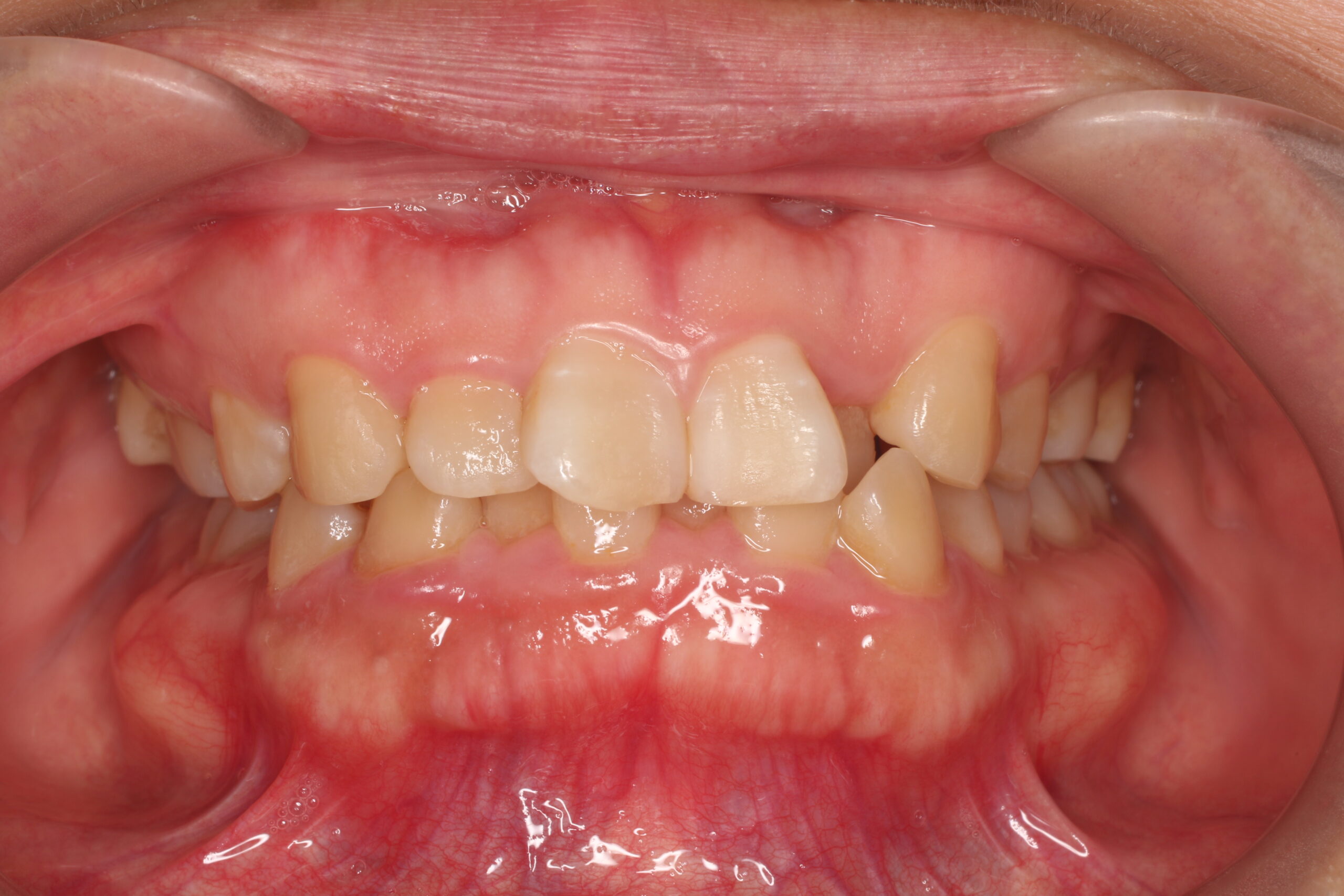
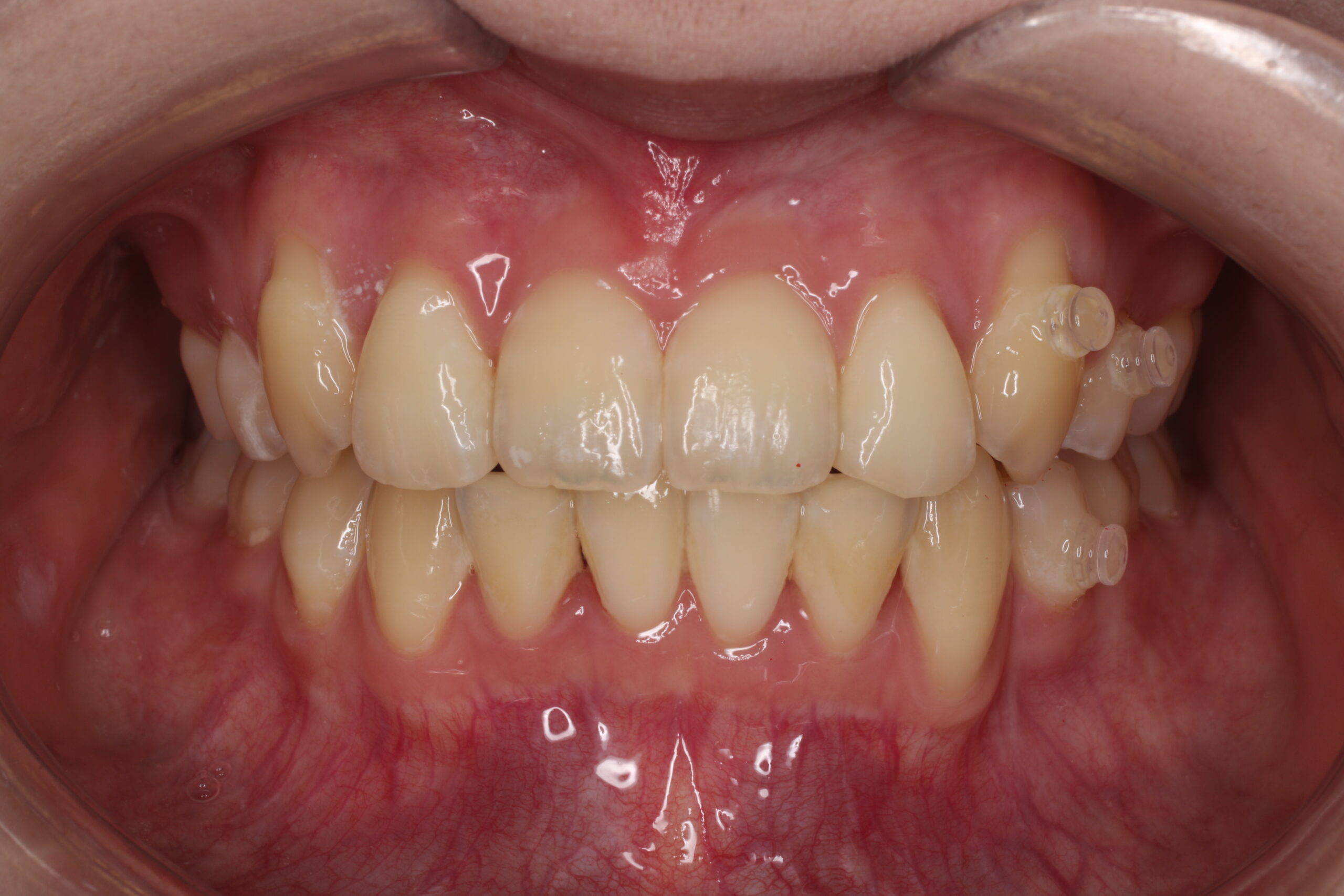
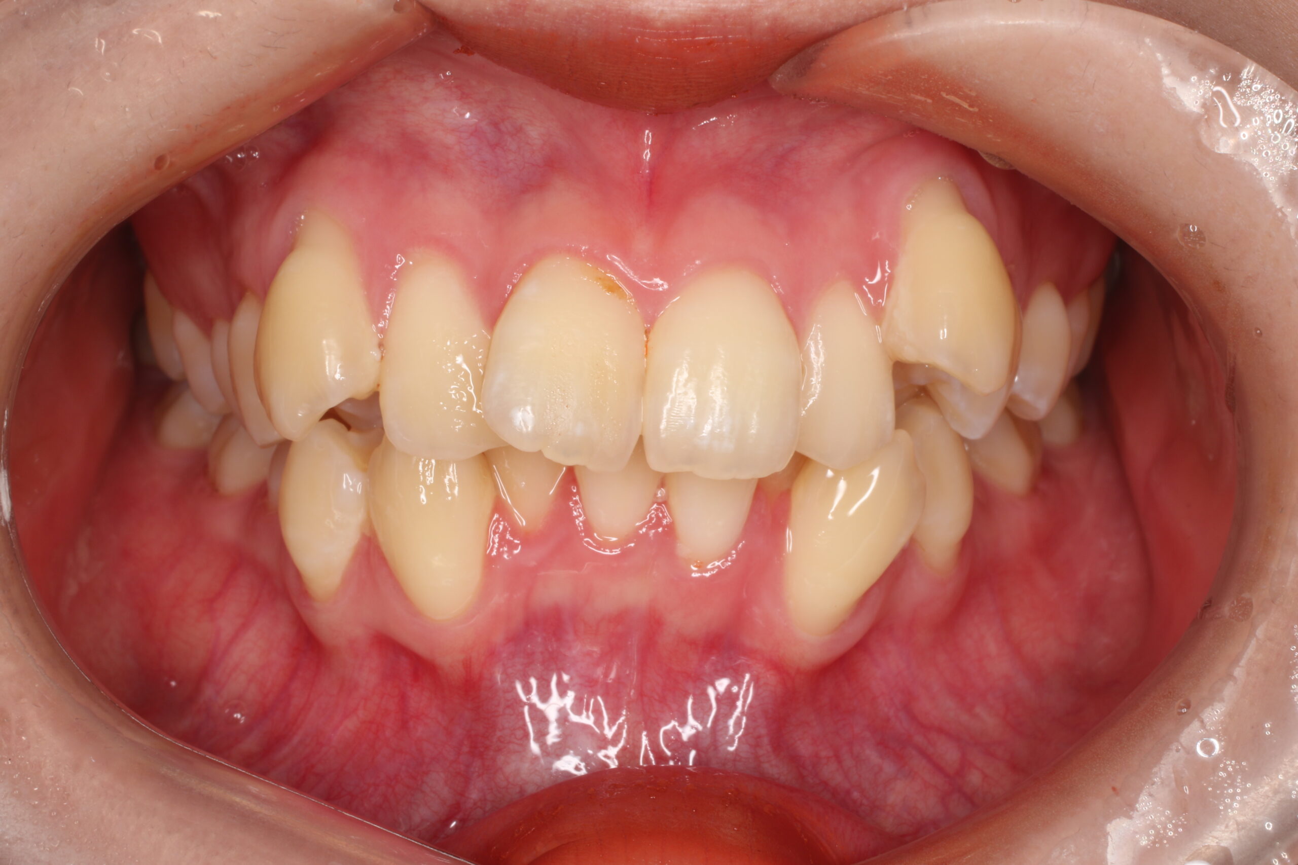
八重歯が気になる(約1年6ヵ月/通院:19回)

年齢層 20代
性別 女性
主訴 【主訴】八重歯 【診断・症状】低位唇側転位
治療費用 検査・診断:税込38,500円/裏側矯正治療(リンガル矯正):税込1,397,000
治療期間 1年6ヵ月(19回)
抜歯 有(上4,4、下5,4)
矯正の装置 裏側矯正(舌側矯正)
副作用・リスク 歯肉退縮,歯根吸収,疼痛,咬合の違和感,装置の違和感,虫歯,歯肉炎
before

Before

After

詳しく見る


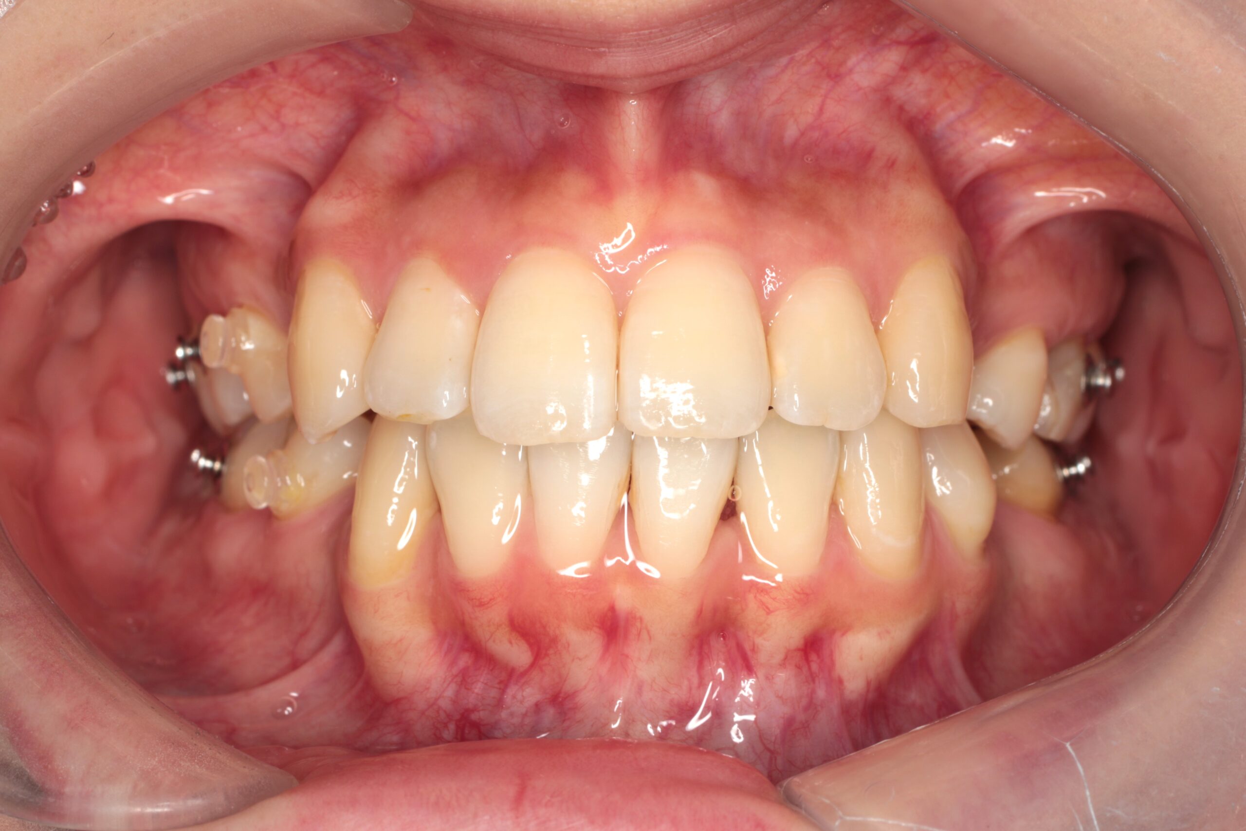
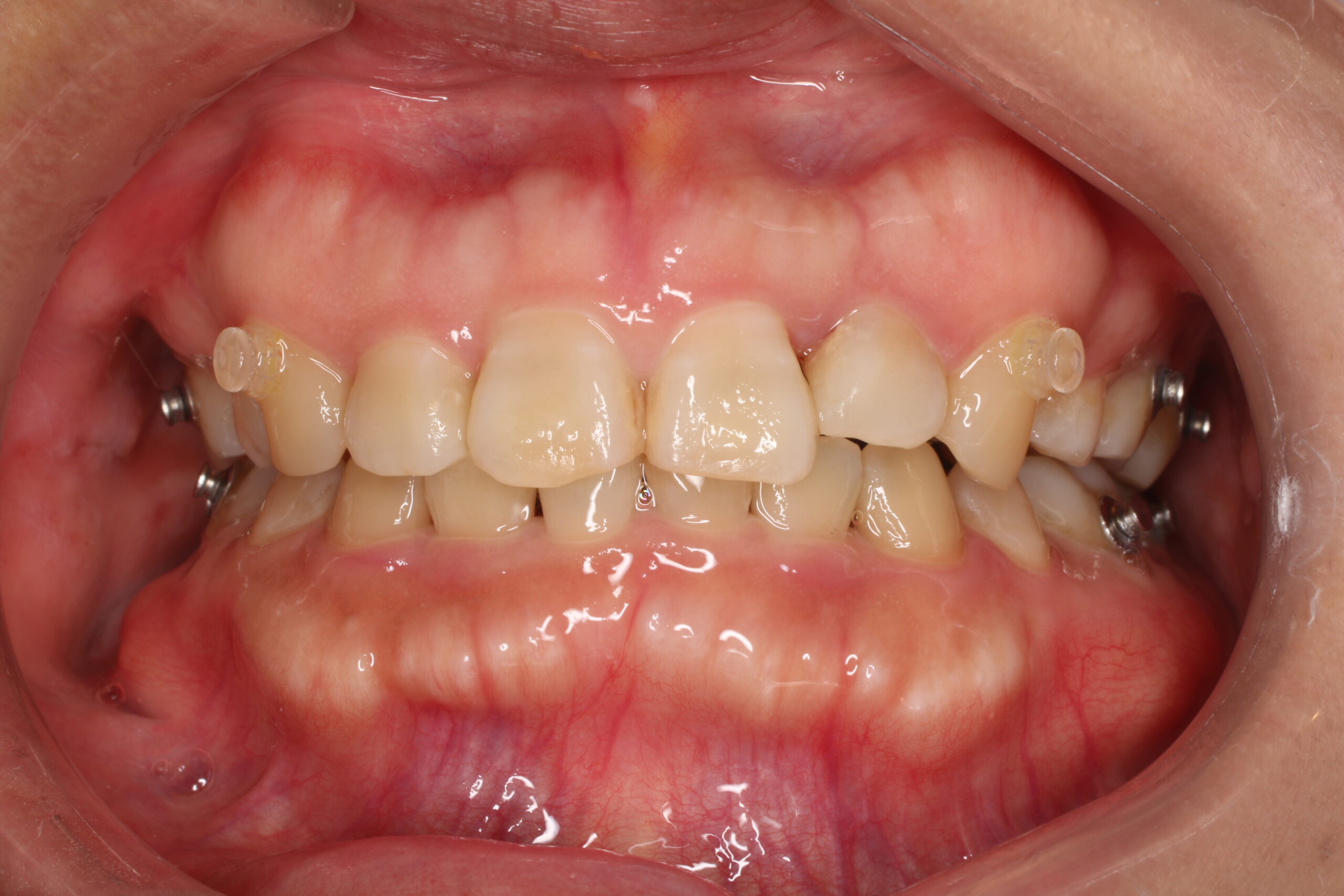
八重歯が気になる(約2年4ヵ月/通院:31回)

年齢層 30代
性別 女性
主訴 【主訴】八重歯 【診断・症状】低位唇側転位
治療費用 検査・診断:税込38,500円/裏側矯正治療(リンガル矯正):税込1,397,000
治療期間 2年4ヵ月(31回)
抜歯 有(上4,4、下5,5)
矯正の装置 裏側矯正(舌側矯正)
副作用・リスク 歯肉退縮,歯根吸収,疼痛,咬合の違和感,装置の違和感,虫歯,歯肉炎
before

Before

After

After

詳しく見る


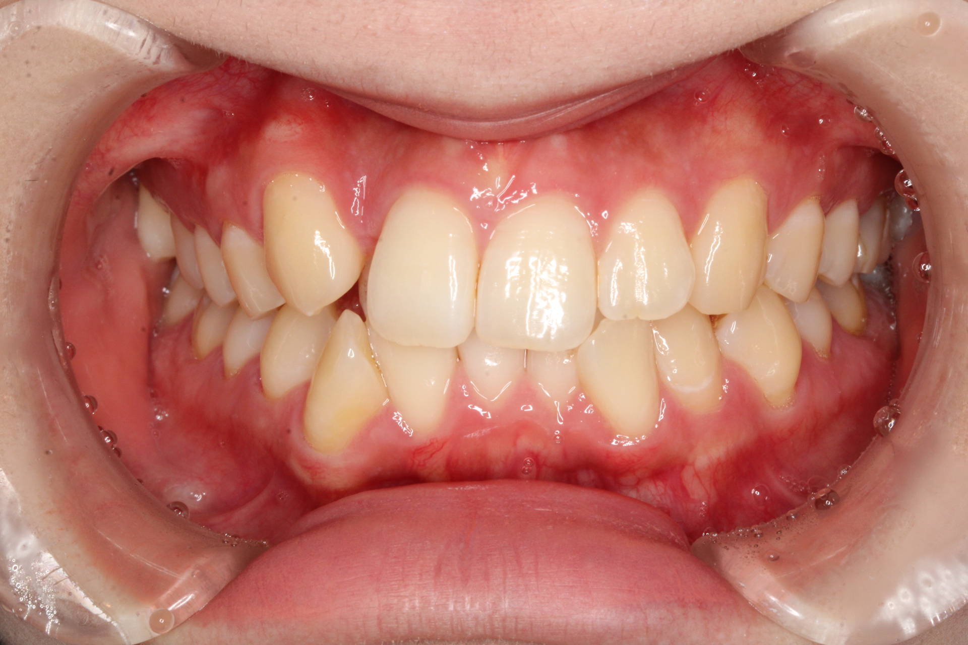
八重歯が気になる(約1年7ヵ月/通院:19回)

年齢層 20代
性別 女性
主訴 【主訴】八重歯 【診断・症状】低位唇側転位
治療費用 検査・診断:税込38,500円/ラビアル:税込1,177,000
治療期間 1年7ヵ月(19回)
抜歯 有(上4,4、下4,4)
矯正の装置 表側矯正
副作用・リスク 歯肉退縮,歯根吸収,疼痛,咬合の違和感,装置の違和感,虫歯,歯肉炎
八重歯 治療前 難波矯正歯科

Before

治療途中 難波 矯正歯科

After

詳しく見る


八重歯が気になる(約1年1ヵ月/通院:23回)

年齢層 20代
性別 女性
主訴 【主訴】八重歯 【診断・症状】低位唇側転位
治療費用 検査・診断:税込38,500円/ラビアル:税込1,177,000
治療期間 1年1ヵ月(23回)
抜歯 有(上4.4, 下左5)
矯正の装置 表側矯正
副作用・リスク 歯肉退縮,歯根吸収,疼痛,咬合の違和感,装置の違和感,虫歯,歯肉炎
八重歯 リンガル 初診

Before

ラビアル 八重歯 1年

After

詳しく見る


八重歯が気になる(約1年/通院:19回)

年齢層 20代
性別 女性
主訴 【主訴】八重歯 【診断・症状】低位唇側転位
治療費用 検査・診断:税込38,500円/裏側矯正治療(リンガル矯正):税込1,397,000
治療期間 1年(19回)
抜歯 有(上右5, 下右5)
矯正の装置 裏側矯正(舌側矯正)
副作用・リスク 歯肉退縮,歯根吸収,疼痛,咬合の違和感,装置の違和感,虫歯,歯肉炎
リンガル 八重歯 初診時

Before

1年 リンガル 八重歯

After

詳しく見る


八重歯が気になる(約1年7ヵ月/通院:24回)

年齢層 20代
性別 女性
主訴 【主訴】八重歯 【診断・症状】低位唇側転位
治療費用 検査・診断:税込38,500円/ハーフリンガル:税込1,287,000
治療期間 1年7ヵ月(24回)
抜歯 有(上4,5、下4,4)
矯正の装置 ハーフリンガル
副作用・リスク 歯肉退縮,歯根吸収,疼痛,咬合の違和感,装置の違和感,虫歯,歯肉炎
八重歯 ハーフリンガル 初診

Before

ハーフリンガル 矯正 八重歯

After

詳しく見る


八重歯が気になる(約1年1ヵ月/通院:23回)

年齢層 20代
性別 女性
主訴 【主訴】八重歯 【診断・症状】低位唇側転位
治療費用 検査・診断:税込38,500円/ハーフリンガル:税込1,287,000
治療期間 1年1ヵ月(23回)
抜歯 有(上4,4、下5,5)
矯正の装置 ハーフリンガル
副作用・リスク 歯肉退縮,歯根吸収,疼痛,咬合の違和感,装置の違和感,虫歯,歯肉炎
八重歯 矯正 裏側矯正

Before

矯正 ハーフリンガル 八重歯

After

詳しく見る


八重歯が気になる(約1年3ヵ月/通院:21回)

年齢層 20代
性別 女性
主訴 【主訴】八重歯 【診断・症状】低位唇側転位
治療費用 検査・診断:税込38,500円/裏側矯正治療(リンガル矯正):税込1,397,000
治療期間 1年3ヵ月(21回)
抜歯 有(上4,4、下5,5)
矯正の装置 裏側矯正(舌側矯正)
副作用・リスク 歯肉退縮,歯根吸収,疼痛,咬合の違和感,装置の違和感,虫歯,歯肉炎
初診時 八重歯 before

Before

矯正 八重歯 after

After

詳しく見る


歯の凸凹を治したい(約3年半/通院:45回)

年齢層 30代
性別 男性
主訴 【主訴】歯の凸凹を治したい 【診断・症状】上下凸凹
治療費用 検査・診断:税込38,500円/裏側矯正治療(リンガル矯正):税込1,397,000円
治療期間 約3年半(45回)
抜歯 有(上4,4、左下4)
矯正の装置 裏側矯正(舌側矯正)
副作用・リスク 歯肉退縮,歯根吸収,疼痛,咬合の違和感,装置の違和感,虫歯,歯肉炎
case23_歯の凹凸_before

Before

case23_歯の凹凸_after

After

詳しく見る


開咬を治したい(約3年/通院:39回)

年齢層 30代
性別 女性
主訴 【主訴】開咬を治したい 【診断・症状】上下凸凹、開咬(オープンバイト)
治療費用 検査・診断:税込38,500円/裏側矯正治療(リンガル矯正):税込1,397,000円
治療期間 約3年(39回)
抜歯 有(左上4,右上5、下5,5)
矯正の装置 裏側矯正(舌側矯正)
副作用・リスク 歯肉退縮,歯根吸収,疼痛,咬合の違和感,装置の違和感,虫歯,歯肉炎
case11_開咬_before

Before

case11_開咬_after

After

詳しく見る


歯のデコボコを非抜歯で治したい(約1年半/通院:20回)

年齢層 20代
性別 女性
主訴 【主訴】歯のデコボコを非抜歯で治したい 【診断・症状】上下凸凹
治療費用 検査・診断:税込38,500円/裏側矯正治療(リンガル矯正):税込1,397,000円
治療期間 約1年半(20回)
抜歯 無(非抜歯)
矯正の装置 裏側矯正(舌側矯正)
副作用・リスク 歯肉退縮,歯根吸収,疼痛,咬合の違和感,装置の違和感,虫歯,歯肉炎
case9_デコボコ非抜歯_before

Before

case9_デコボコ非抜歯_after

After

詳しく見る


歯のデコボコを治したい(約2年/通院:26回)

年齢層 30代
性別 男性
主訴 【主訴】歯のデコボコを治したい 【診断・症状】上下凸凹
治療費用 検査・診断:税込38,500円/裏側矯正治療(リンガル矯正):税込1,397,000円
治療期間 約2年(26回)
抜歯 有(上4,4、下5,5)
矯正の装置 裏側矯正(舌側矯正)
副作用・リスク 歯肉退縮,歯根吸収,疼痛,咬合の違和感,装置の違和感,虫歯,歯肉炎
case8_デコボコ抜歯_before

Before

case8_デコボコ抜歯_after

After

詳しく見る


歯のデコボコを治したい(約3年半/通院:45回)

年齢層 20代
性別 女性
主訴 【主訴】歯のデコボコを治したい 【診断・症状】上下凸凹
治療費用 検査・診断:税込38,500円/裏側矯正治療(リンガル矯正):税込1,397,000円
治療期間 約3年半(45回)
抜歯 有(上4,4、下 4,4)
矯正の装置 裏側矯正(舌側矯正)
副作用・リスク 歯肉退縮,歯根吸収,疼痛,咬合の違和感,装置の違和感,虫歯,歯肉炎
case7_デコボコ抜歯_before

Before

case7_デコボコ抜歯_after

After

詳しく見る