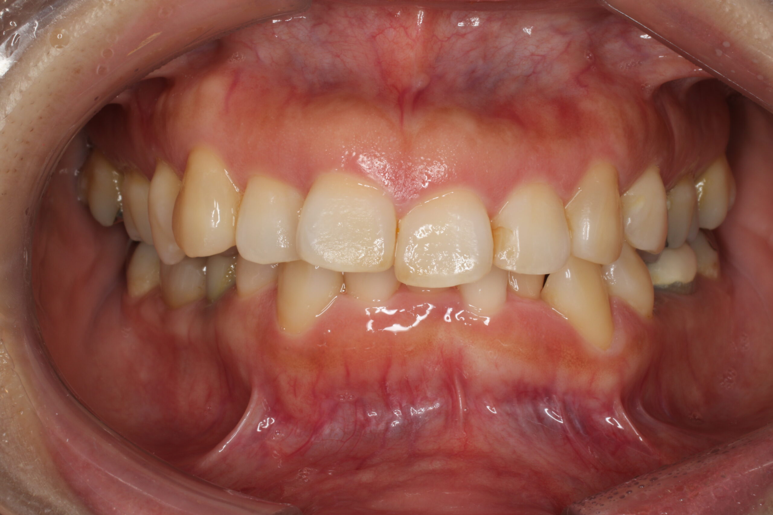
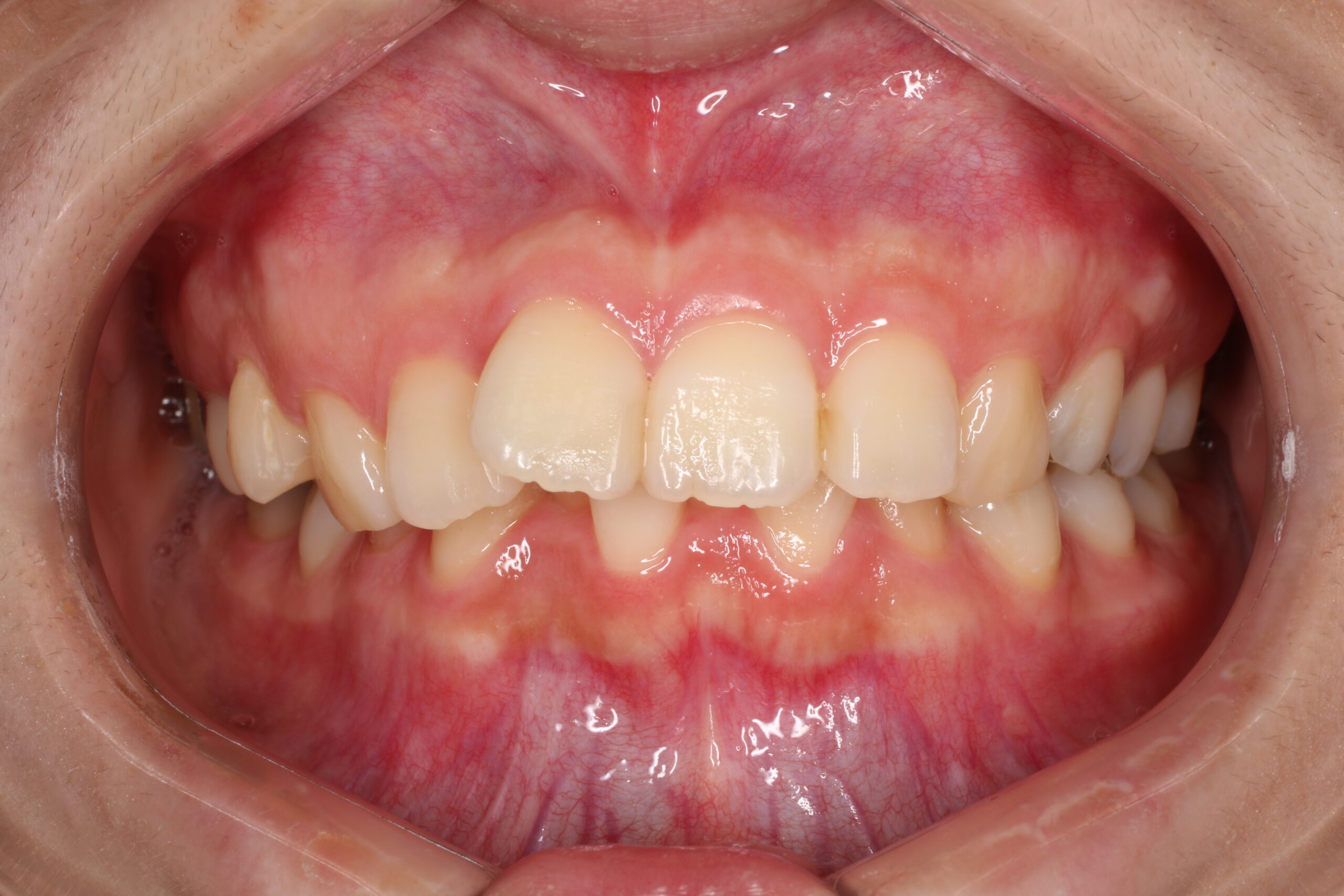
かみ合わせが深いのが気になる
| 年齢層 | 40代 |
|---|---|
| 性別 | 女性 |
| 主訴 | 【主訴】かみ合わせが深い 【診断・症状】過蓋咬合 |
| 治療費用 | 検査・診断:税込38,500円/裏側矯正治療(リンガル矯正):税込1,397,000 |
| 治療期間 | 1年7ヵ月(29回) |
| 抜歯 | 有(上4,4、下5,5) |
| 矯正の装置 | 裏側矯正(舌側矯正) |
| 副作用・リスク | 歯肉退縮,歯根吸収,疼痛,咬合の違和感,装置の違和感,虫歯,歯肉炎 |
Before
| 年齢層 | 40代 |
|---|---|
| 性別 | 女性 |
| 主訴 | 【主訴】かみ合わせが深い 【診断・症状】過蓋咬合 |
| 治療費用 | 検査・診断:税込38,500円/裏側矯正治療(リンガル矯正):税込1,397,000 |
| 治療期間 | 1年7ヵ月(29回) |
| 抜歯 | 有(上4,4、下5,5) |
| 矯正の装置 | 裏側矯正(舌側矯正) |
| 副作用・リスク | 歯肉退縮,歯根吸収,疼痛,咬合の違和感,装置の違和感,虫歯,歯肉炎 |
| 年齢層 | 30代 |
|---|---|
| 性別 | 男性 |
| 主訴 | 【主訴】かみ合わせが深い、受け口 【診断・症状】受け口、過蓋咬合、上下凸凹 |
| 治療費用 | 検査・診断:税込38,500円/裏側矯正治療(リンガル矯正):税込1,397,000円/難症例加算:税込220,000円 |
| 治療期間 | 約3年半(45回) |
| 抜歯 | 無(非抜歯) |
| 矯正の装置 | 裏側矯正(舌側矯正) |
| 副作用・リスク | 歯肉退縮,歯根吸収,疼痛,咬合の違和感,装置の違和感,虫歯,歯肉炎 |
| 年齢層 | 30代 |
|---|---|
| 性別 | 男性 |
| 主訴 | 【主訴】ディープバイト,すきっ歯 【診断・症状】左上C残存、下顎右下1番欠損、上顎前突、空隙歯列、過蓋咬合 |
| 治療費用 | 検査・診断:税込38,500円/裏側矯正治療(リンガル矯正):税込1,397,000円 |
| 治療期間 | 約3年半(45回) |
| 抜歯 | 有(左上c、上の4,4) |
| 矯正の装置 | 裏側矯正(舌側矯正) |
| 副作用・リスク | 歯肉退縮,歯根吸収,疼痛,咬合の違和感,装置の違和感,虫歯,歯肉炎 |